精密根管治療 症例 恵比寿ヘンミデンタルオフィス
こどもが歯を痛がる原因は虫歯だけではありません!横須賀の歯科 
矯正治療でおきる歯茎のトラブルは??対策があれば怖くない!
親知らず 所沢市の歯科口腔外科|武藤歯科口腔外科クリニック
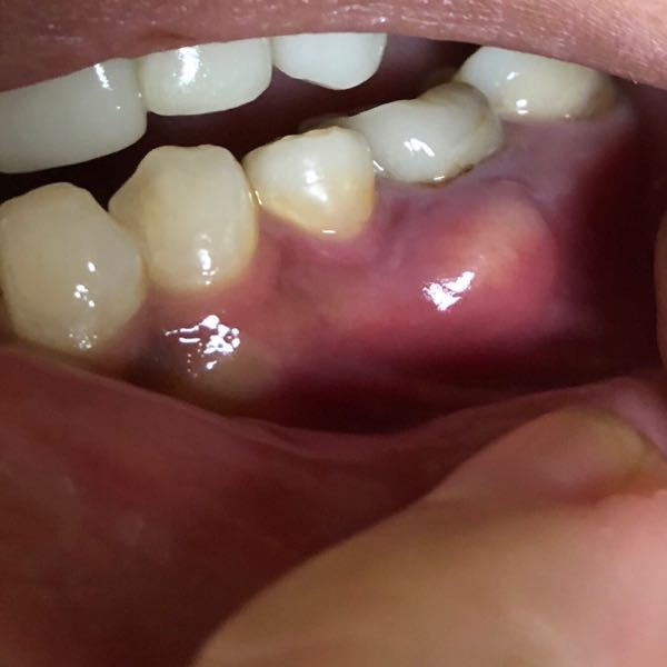
この歯茎の腫れは膿ですか? - 押すとかなり痛いです。針を刺
歯茎がぶよぶよしていると感じたら! インプラントネット![]()
歯茎が腫れているのですが・・・4: 平木歯科医院@山陽小野田市
歯茎が腫れる|デンタルクリニック麻布仙台坂 - 麻布十番駅の歯医者 
歯肉の腫れは口腔内腫瘍の初期症状かもしれません クッキー動物病院
治療例|クラウン(被せ物)|西荻窪の歯医者「えだもと歯科」
歯茎の腫れが気になり来院した患者さん|歯ぎしり・食いしばりを 
症例紹介「歯茎の腫れと被せ物不良の再治療」|パール歯科医院(千葉県 
Tags:
archive